The patient came to the office with a provisional implant in poor condition. In this case, a dentogingival prosthesis was...
Among the various pathologies that can arise within the oral cavity, probably one of the least known, but quite frequent...
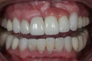
Tooth loss can be an aesthetic and functional problem that affects the quality of life for many people. However, thanks...
The patient came to the office with wear on the anterior teeth and received treatment to improve color, shape, and...
Carolina decided to improve her smile with us. The procedure to follow was a mixed whitening. We share her change...
Dental clinic specialized in comprehensive oral health care, with highly qualified staff committed to providing quality care.
Menu
Treatments
Request an appointment with us